Sức khỏe
Ưu điểm của Phòng Khám Đa Khoa Bắc Giang 357-359 Nguyễn Thị Minh Khai
Phòng Khám Đa Khoa Bắc Giang tại 357-359 Nguyễn Thị Minh Khai, Bắc Giang được đánh giá là nơi khám chữa bệnh uy tín hiện nay. Với đội ngũ chuyên gia, bác sĩ giỏi, tận tâm và không ngừng học hỏi nâng cao tay nghề mang đến cho người bệnh dịch vụ y tế chất lượng.
Sắp có vắc xin ngăn ngừa và điều trị bệnh mất trí nhớ Alzheimer
TPO - Các nhà khoa học đang thử nghiệm vắc xin như là phương pháp điều trị tiềm năng cho bệnh Alzheimer, trong nỗ lực kiểm soát hoạt động miễn dịch có hại gắn liền với căn bệnh khá phổ biến hiện nay.
Tăng cơ hội tiếp cận vaccine mới cho người dân
(Chinhphu.vn) - Ngày 3/7, tại TPHCM, Công ty EPLUS Research - đối tác chiến lược toàn diện của Hệ thống tiêm chủng VNVC và Công ty TNHH Dược phẩm GSK Việt Nam, thuộc tập đoàn dược phẩm hàng đầu thế giới GSK đã ký kết biên bản ghi nhớ hợp tác chiến lược.
Em bé có 12 ngón tay, 12 ngón chân cực kỳ hiếm gặp
TPO - Vì bàn chân có 6 ngón nên bé L. rất khó để chọn giày dép, hầu như từ nhỏ đến lớn em chưa bao giờ mang được giày.
Dược phẩm Hoa Linh đồng hành cùng Vụ Sức khỏe Bà mẹ - Trẻ em, Bộ Y tế
Ngày 06/7/2023, tại Văn Phòng Bộ Y tế, TP. Hà Nội, Vụ Sức khỏe Bà mẹ - Trẻ em, Bộ Y tế phát động chiến dịch truyền thông dự phòng nhiễm khuẩn đường sinh sản với chủ đề “ 20 triệu phụ nữ phụ khoa đúng cách - Hạnh phúc trọn vẹn” với sự đồng hành của Dược phẩm Hoa Linh - nhãn hàng Dạ Hương.
Hợp tác cùng Vương quốc Anh chuyển đổi số trong y tế
Ngày 7/7, TS.BS Trần Chí Cường, Giám đốc Bệnh viện Đa khoa Quốc tế S.I.S Cần Thơ cho biết, tại đây vừa diễn ra buổi làm việc về các giải pháp hợp tác ứng dụng công nghệ cao vào y tế giữa Tổng lãnh sự quán, các tập đoàn công nghệ, xử lý rác thải y tế của Anh và UBND thành phố Cần Thơ, Sở Y tế TPHCM cùng Sở Y tế thành phố Cần Thơ.
Những thực phẩm dễ kiếm có thể giúp cải thiện tình trạng ‘khô hạn’ cho chị em
TPO - ‘Khô hạn’ là hiện tượng xuất hiện phổ biến ở chị em phụ nữ khiến nhiều chị em bị đau rát, khó chịu, giảm ham muốn trong ‘chuyện ấy’. Bài viết dưới đây sẽ bật mí cho bạn một số thực phẩm dễ tìm kiếm và chống ‘khô hạn’ hiệu quả cho chị em.
Gia đình 7 người cùng nhập viện nghi do ăn tiết canh bò
Bảy người trong một gia đình ở Quảng Bình đã cùng dùng món tiết canh bò. Sau khi ăn, tất cả đều có biểu hiện đau đầu, khô cổ, tê chân tay, nôn ói.
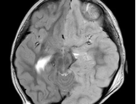
Liên tiếp phát hiện 2 trẻ bị viêm não cấp hiếm gặp
TPO - Ngày 6/7, BS Đỗ Châu Việt, Trưởng khoa Hồi sức Tích cực Nhiễm, Bệnh viện Nhi Đồng 2 TPHCM cho biết, tại đây vừa liên tiếp phát hiện 2 trường hợp bị viêm não cấp hiếm gặp. Trẻ nhập viện trong tình trạng co giật toàn thân, liệt nửa người, nguy hiểm tính mạng nhưng đã may mắn được cứu sống.
Hôn nhân không sex có thể hạnh phúc?
TPO - Monika, người đẹp đã 4 năm không gần gũi chồng khẳng định, có thể. Maria có câu trả lời khác, thiếu nữ ngày càng nghĩ nhiều đến khả năng ly hôn, bởi tình trạng thờ ơ của chồng.
Sau đêm mặn nồng cùng tình cũ, vợ chết lặng vì giáp mặt chồng ngay quầy lễ tân khách sạn
TPO - “Cái gì đến phải đến” tôi và Thịnh tan chảy trong nhau ngay đêm đầu tiên chúng tôi hội ngộ. Sáng muộn, Thịnh ôm eo tôi xuống quầy lễ tân gửi chìa khóa để đi nhà hàng dùng bữa. Tôi chết đứng khi thấy chồng đang làm thủ tục nhận phòng cho khách của nhà máy.
Sau TPHCM, Hà Nội là điểm nóng sốt xuất huyết
TP - Các chuyên gia dịch tễ nhận định tình hình dịch bệnh sốt xuất huyết (SXH) năm nay sẽ có những diễn biến phức tạp, đặc biệt là khi thời tiết nắng nóng kéo theo những đợt mưa giông thất thường như ở khu vực Hà Nội hiện nay.
Chặn vấn nạn quảng cáo bất chấp sự thật, thổi phồng công dụng của thực phẩm chức năng
TPO - Lợi dụng những lỗ hổng trong công tác quản lý, nhiều mặt hàng thực phẩm chức năng đang được quảng cáo tràn lan trên các nền tảng mạng xã hội, bán với giá đắt đỏ. Cơ quan chức năng đang đề ra nhiều giải pháp ngăn chặn vấn nạn trên, bảo vệ quyền lợi người tiêu dùng.
Trà lá sen thơm ngát không phải ai cũng uống được, những người những người này nên tránh cho xa
TPO - Từ xa xưa, lá sen đã được dùng để làm thuốc chữa bệnh. Ngày nay, y học hiện đại cũng sử dụng lá sen để sản xuất nhiều loại thuốc trị bệnh khác nhau. Tuy nhiên có những người không nên uống nước từ trà lá sen.