
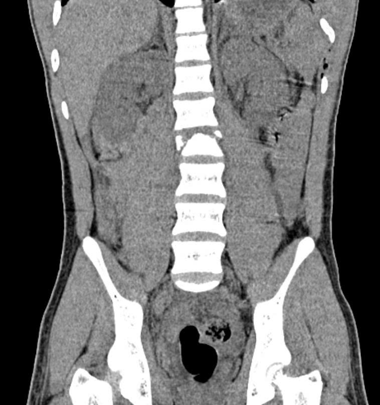
Hình ảnh chụp cắt lớp cho thấy bệnh nhi bị gãy xẹp đốt sống L2 - Ảnh: Bệnh viện cung cấp
Ngày 15-10, các bác sĩ khoa ngoại thần kinh Bệnh viện Nhi đồng 2 (TP.HCM) cho biết vừa tiếp nhận một cậu bé 14 tuổi, ngụ ở Khánh Hòa, bị liệt hai chân do đứt tủy sống sau tai nạn giao thông.
Theo người nhà kể lại trước đó em bị trượt ngã khi đang đi xe máy. Sau khi bị trượt ngã, em bị đau hai chân.
Tại một bệnh viện địa phương, các kết quả chẩn đoán hình ảnh cho thấy em bị gãy xương sống, tủy bị đứt, xương sống gãy vỡ phức tạp, nên được chuyển khẩn vào Bệnh viện Nhi đồng 2. Ê kíp phẫu thuật đã nhanh chóng đặt dụng cụ cố định cột sống, giúp em giảm đau và tránh lở loét do nằm lâu.
Tuy khả năng phục hồi vận động rất thấp, ca mổ vẫn được tiến hành với tinh thần nỗ lực cao nhất để bảo tồn chức năng và cải thiện chất lượng sống cho bệnh nhi.
"Nhiều phụ huynh chỉ cho con chụp CT-scan não sau khi té đập đầu mà quên kiểm tra vùng cổ. Thực tế chấn thương cổ có thể xảy ra đồng thời nhưng không biểu hiện ngay", bác sĩ khuyến cáo.
Theo các bác sĩ, nếu trẻ bị đau cổ, tê tay chân hoặc yếu chi dù chỉ thoáng qua sau té ngã, nên chụp thêm cột sống cổ để phát hiện sớm tổn thương, tránh nguy cơ liệt hoặc tử vong.
BS.CK1 Nguyễn Thành Đô - Phó khoa ngoại thần kinh B Bệnh viện Nhi đồng 2 - cho biết chấn thương cột sống ở trẻ em chiếm từ 1-10%. Tổn thương vùng cổ và thắt lưng ít gặp nhưng cực kỳ nguy hiểm. Phụ huynh cần nhắc trẻ tuân thủ luật giao thông, đội mũ bảo hiểm, không điều khiển xe máy - xe đạp điện khi chưa đủ tuổi".
